全部
全部
细胞系
原代细胞
培养基试剂
实验试剂
热搜:
HeLa细胞
cho细胞
Jurkat细胞
血清
完全培养基
细胞消化液
网站首页
产品中心
细胞系
小鼠细胞系
大鼠细胞系
人源细胞系
其他种属
原代细胞
小鼠原代细胞
大鼠原代细胞
人源原代细胞
耐药永生及其他种属细胞
培养基试剂
细胞完培
基础培养基
PBMC+CD3+CD4
实验试剂
血清
生长因子
试剂盒
试剂
促销活动
技术支持
联系我们
联系我们
当前位置:
网站首页
>
产品中心
>
细胞系
>
大鼠细胞系
> 大鼠正常肝细胞BRL3A
细胞系
小鼠细胞系
大鼠细胞系
人源细胞系
其他种属
原代细胞
小鼠原代细胞
大鼠原代细胞
人源原代细胞
耐药永生及其他种属细胞
培养基试剂
细胞完培
基础培养基
PBMC+CD3+CD4
实验试剂
血清
生长因子
试剂盒
试剂
联系方式
手机:
15588515027
电话:
Q Q :
邮箱:
2277102268@qq.com
地址:
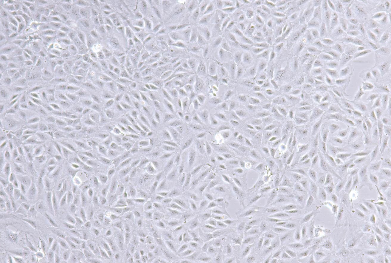
大鼠正常肝细胞BRL3A
价格:
货号:ZY284
规格:1×10⁶cells/T25培养瓶
产品简介:BRL 3A细胞的无血清条件培养基是MSA的一个来源,MSA多肽家族能够部分满足鸡胚成纤维细胞对血清的需求。
-
+
在线咨询
下载说明书
产品概述
相关推荐
大鼠肝星形细胞HSC-T6
正常大鼠肾细胞NRK-52E
大鼠肺上皮细胞L2
大鼠正常肝细胞BRL3A
大鼠嗜碱性细胞白血病细胞RBL-2H3
大鼠肾小球系膜细胞HBZY-1
大鼠神经胶质瘤细胞带荧光素酶C6+LUC
大鼠肝细胞瘤H-4-II-E