全部
全部
细胞系
原代细胞
培养基试剂
实验试剂
热搜:
HeLa细胞
cho细胞
Jurkat细胞
血清
完全培养基
细胞消化液
网站首页
产品中心
细胞系
小鼠细胞系
大鼠细胞系
人源细胞系
其他种属
原代细胞
小鼠原代细胞
大鼠原代细胞
人源原代细胞
耐药永生及其他种属细胞
培养基试剂
细胞完培
基础培养基
PBMC+CD3+CD4
实验试剂
血清
生长因子
试剂盒
试剂
促销活动
技术支持
联系我们
联系我们
当前位置:
网站首页
>
产品中心
>
细胞系
>
大鼠细胞系
> 大鼠回肠细胞IEC-18
细胞系
小鼠细胞系
大鼠细胞系
人源细胞系
其他种属
原代细胞
小鼠原代细胞
大鼠原代细胞
人源原代细胞
耐药永生及其他种属细胞
培养基试剂
细胞完培
基础培养基
PBMC+CD3+CD4
实验试剂
血清
生长因子
试剂盒
试剂
联系方式
手机:
15588515027
电话:
Q Q :
邮箱:
2277102268@qq.com
地址:
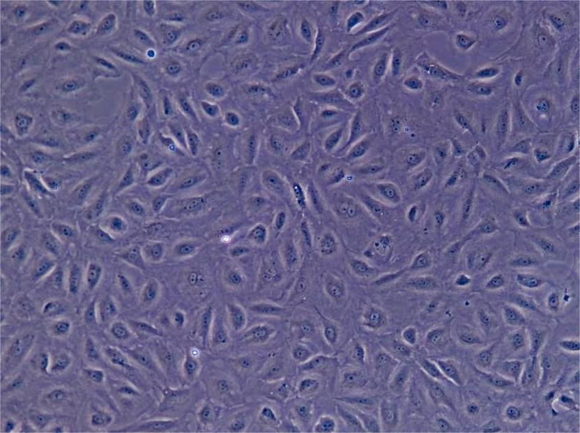
大鼠回肠细胞IEC-18
价格:
货号:ZY261
规格:1×10⁶cells/T25培养瓶
产品简介:该细胞来源于大鼠肠上皮细胞。
-
+
在线咨询
下载说明书
产品概述
相关推荐
大鼠乳腺癌细胞MADB106
大鼠视网膜细胞系R28
大鼠嗜碱性细胞白血病细胞RBL-2H3
大鼠骨髓瘤细胞Y3-Ag 1.2.3
大鼠骨肉瘤细胞UMR-106
大鼠脊髓前角运动神经瘤细胞 VSC4.1
大鼠肾小球系膜细胞专用培养基
大鼠胶质肉瘤细胞9L/lacZ