全部
全部
细胞系
原代细胞
培养基试剂
实验试剂
热搜:
HeLa细胞
cho细胞
Jurkat细胞
血清
完全培养基
细胞消化液
网站首页
产品中心
细胞系
小鼠细胞系
大鼠细胞系
人源细胞系
其他种属
原代细胞
小鼠原代细胞
大鼠原代细胞
人源原代细胞
耐药永生及其他种属细胞
培养基试剂
细胞完培
基础培养基
PBMC+CD3+CD4
实验试剂
血清
生长因子
试剂盒
试剂
促销活动
技术支持
联系我们
联系我们
当前位置:
网站首页
>
产品中心
>
细胞系
>
人源细胞系
> 人甲状腺正常细胞Nthy-ori 3-1
细胞系
小鼠细胞系
大鼠细胞系
人源细胞系
其他种属
原代细胞
小鼠原代细胞
大鼠原代细胞
人源原代细胞
耐药永生及其他种属细胞
培养基试剂
细胞完培
基础培养基
PBMC+CD3+CD4
实验试剂
血清
生长因子
试剂盒
试剂
联系方式
手机:
15588515027
电话:
Q Q :
邮箱:
2277102268@qq.com
地址:
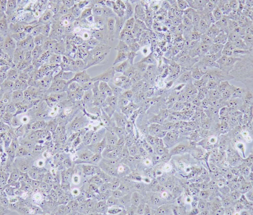
人甲状腺正常细胞Nthy-ori 3-1
价格:
货号:ZY1097
规格:1×10⁶cells/T25培养瓶
产品简介:用含有起源缺陷型 SV40 基因组 (SV-ori) 的质粒转染正常人原代甲状腺滤泡上皮细胞以使其永生化。SV40 DNA 能够使正常甲状腺上皮细胞永生化,并保留几种不同的功能。
-
+
在线咨询
下载说明书
产品概述
相关推荐
人眼脉络黑色素瘤细胞OCM1A
人子宫内膜癌细胞HEC-1-A
人膀胱移行细胞癌细胞TCCSUP
人肺癌细胞株MSTO-211H
人淋巴瘤细胞BC-3
人鼻咽癌细胞HNE1
人脑星形胶质瘤细胞SW1783
人Burkkit淋巴瘤细胞带荧光素酶Daudi+LUC