全部
全部
细胞系
原代细胞
培养基试剂
实验试剂
热搜:
HeLa细胞
cho细胞
Jurkat细胞
血清
完全培养基
细胞消化液
网站首页
产品中心
细胞系
小鼠细胞系
大鼠细胞系
人源细胞系
其他种属
原代细胞
小鼠原代细胞
大鼠原代细胞
人源原代细胞
耐药永生及其他种属细胞
培养基试剂
细胞完培
基础培养基
PBMC+CD3+CD4
实验试剂
血清
生长因子
试剂盒
试剂
促销活动
技术支持
联系我们
联系我们
当前位置:
网站首页
>
产品中心
>
细胞系
>
人源细胞系
> 人胰腺癌细胞PANC 05.04
细胞系
小鼠细胞系
大鼠细胞系
人源细胞系
其他种属
原代细胞
小鼠原代细胞
大鼠原代细胞
人源原代细胞
耐药永生及其他种属细胞
培养基试剂
细胞完培
基础培养基
PBMC+CD3+CD4
实验试剂
血清
生长因子
试剂盒
试剂
联系方式
手机:
15588515027
电话:
Q Q :
邮箱:
2277102268@qq.com
地址:
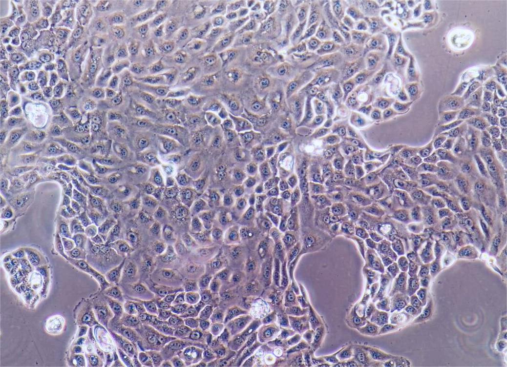
人胰腺癌细胞PANC 05.04
价格:
货号:ZY750
规格:1×10⁶cells/T25培养瓶
产品简介:panc05.04是1995年从一名患有胰腺癌的女性胰腺头部切除的原发性肿瘤中分离出来的胰腺癌上皮细胞系。
-
+
在线咨询
下载说明书
产品概述
相关推荐
人卵巢癌细胞带红色荧光SKOV3+RFP
人肺癌细胞CAL-12T
人急性非B非T淋巴细胞性白血病细胞 Reh
人口腔表皮样癌细胞KB
人舌鳞癌细胞Tca-8113
人乳腺腺癌细胞HCC1428
人肺腺癌耐顺铂株带荧光素酶A549+DDP+LUC
人皮肤基底细胞癌TE354.T