全部
全部
细胞系
原代细胞
培养基试剂
实验试剂
热搜:
HeLa细胞
cho细胞
Jurkat细胞
血清
完全培养基
细胞消化液
网站首页
产品中心
细胞系
小鼠细胞系
大鼠细胞系
人源细胞系
其他种属
原代细胞
小鼠原代细胞
大鼠原代细胞
人源原代细胞
耐药永生及其他种属细胞
培养基试剂
细胞完培
基础培养基
PBMC+CD3+CD4
实验试剂
血清
生长因子
试剂盒
试剂
促销活动
技术支持
联系我们
联系我们
当前位置:
网站首页
>
产品中心
>
细胞系
>
人源细胞系
> 人腺癌细胞系F56
细胞系
小鼠细胞系
大鼠细胞系
人源细胞系
其他种属
原代细胞
小鼠原代细胞
大鼠原代细胞
人源原代细胞
耐药永生及其他种属细胞
培养基试剂
细胞完培
基础培养基
PBMC+CD3+CD4
实验试剂
血清
生长因子
试剂盒
试剂
联系方式
手机:
15588515027
电话:
Q Q :
邮箱:
2277102268@qq.com
地址:
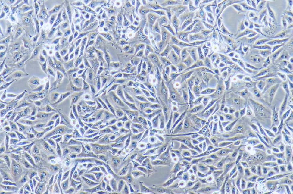
人腺癌细胞系F56
价格:
货号:ZY697
规格:1×10⁶cells/T25培养瓶
产品简介:F56是一株人的腺癌细胞系,可用于腺癌发生机制的研究,也可用于抗癌药物的筛选。
-
+
在线咨询
下载说明书
产品概述
相关推荐
人晶状体上皮细胞HLE-B3
鼻咽癌细胞株 6-10b
人胆管癌细胞CC-LP-1
人结直肠腺癌细胞COLO320HSR
人胰腺癌细胞AsPC-1
人乳腺腺癌细胞带荧光素酶SK-BR-3+LUC
人甲状腺癌细胞KMH-2
人弥漫性大B细胞淋巴瘤 SU-DHL-5