全部
全部
细胞系
原代细胞
培养基试剂
实验试剂
热搜:
HeLa细胞
cho细胞
Jurkat细胞
血清
完全培养基
细胞消化液
网站首页
产品中心
细胞系
小鼠细胞系
大鼠细胞系
人源细胞系
其他种属
原代细胞
小鼠原代细胞
大鼠原代细胞
人源原代细胞
耐药永生及其他种属细胞
培养基试剂
细胞完培
基础培养基
PBMC+CD3+CD4
实验试剂
血清
生长因子
试剂盒
试剂
促销活动
技术支持
联系我们
联系我们
当前位置:
网站首页
>
产品中心
>
细胞系
>
人源细胞系
> 人宫颈癌细胞荧光素酶标记Hela+luc
细胞系
小鼠细胞系
大鼠细胞系
人源细胞系
其他种属
原代细胞
小鼠原代细胞
大鼠原代细胞
人源原代细胞
耐药永生及其他种属细胞
培养基试剂
细胞完培
基础培养基
PBMC+CD3+CD4
实验试剂
血清
生长因子
试剂盒
试剂
联系方式
手机:
15588515027
电话:
Q Q :
邮箱:
2277102268@qq.com
地址:
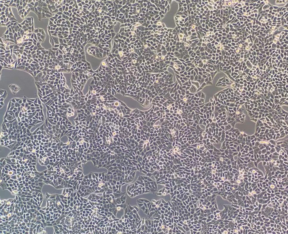
人宫颈癌细胞荧光素酶标记Hela+luc
价格:
货号:ZY659
规格:1×10⁶cells/T25培养瓶
产品简介:HeLa是第一个来自人体组织经连续培养获得的非整倍体上皮样细胞系 ,它由GeyGO等在1951年从31岁女性黑人的宫 颈癌组织建立。经原始组织切片重新观察 ,Jones等将其诊断为腺癌。已知该细胞系含有人乳头状瘤病毒HPV18序列 ,需在2级生物安全防护台操作。该细胞角蛋白阳性 ,p53表达量较低 ,但表达正常水平的pRB(视网膜母细胞瘤抑 制因子)。
-
+
在线咨询
下载说明书
产品概述
相关推荐
人肝癌细胞JHH-7
人卵巢癌TOV21G
人乳腺癌细胞MDA-MB-157
人非小细胞肺癌细胞NCI-H1944
人多发性骨髓瘤细胞带荧光素酶MM.1S+LUC
人结肠腺癌细胞SNU-81
人B淋巴母细胞瘤pfeiffer
人永生化表皮细胞荧光素酶标记HaCat+luc